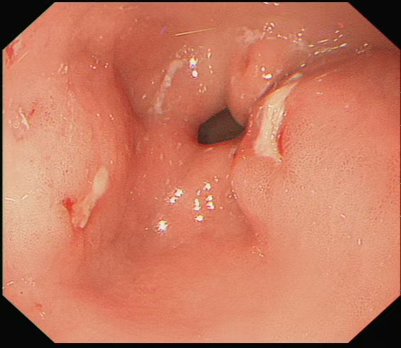
60 岁的赵大娘(化名)被腹痛困扰整整一个月,起初误以为是老胃病复发未重视,直到疼痛难忍才前往湖北科技学院附属第二医院就诊。令人震惊的是,胃镜检查显示,一枚枣核如刀片般横卡在她的胃窦处,两端锋利尖端已深深扎入胃壁,形成穿透性溃疡,甚至将胃的前后壁紧紧 “粘连”,情况危急。
内镜下的惊险救援
“这枚枣核就像一颗‘定时炸弹’。” 医院消化内科主任高新生介绍,由于枣核在胃内存留时间较长,已与周围组织粘连,取出过程中稍有不慎就可能造成二次损伤,还可能引发更严重的胃穿孔、腹膜炎,直接危及生命。

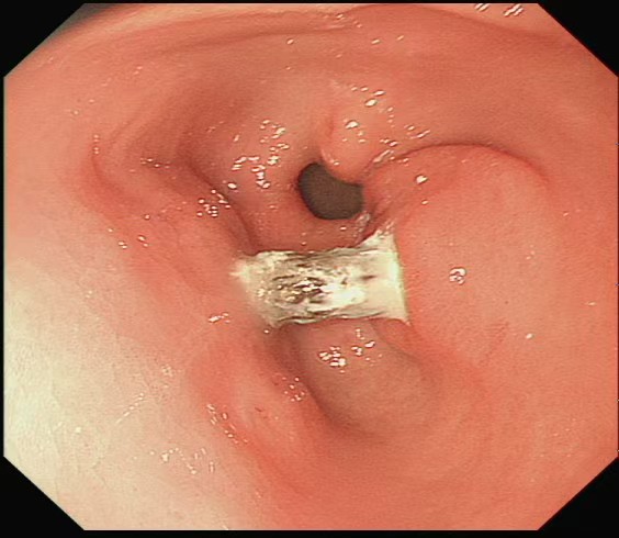
面对危急情况,高新生主任团队凭借丰富的临床经验和成熟的内镜技术,借助透明帽辅助清晰暴露视野,再用异物网篮精准抓取枣核,成功避开其锋利边缘,将这枚 “致命异物” 完整取出。随后,医生用钛夹如同 “内部缝合针”,牢牢封闭了溃疡创面。经过 5 天的住院观察,赵大娘腹痛症状明显缓解,复查结果正常后顺利出院。

(点击观看)
老年人为何成误吞异物高发群体?
1.生理功能退化:老年人咀嚼功能下降,口腔对食物的感知能力减弱,难以察觉食物中混入的骨、刺、核等硬物。
2.假牙影响感知:部分老人佩戴假牙,会进一步降低口内感觉灵敏度,即便食物中存在异物也不易发现。
3.不良进食习惯:一些老人习惯快速进食,或边吃饭边说话、看电视,分散了注意力,容易导致异物随食物一同吞下。赵大娘事后回忆,大概率是吃红枣时未发现枣核,误吞后引发了这场危机。
这些信号提示可能误吞异物,切勿 “硬扛”
赵大娘的案例具有典型性 —— 很多老人会将腹痛等不适简单归咎于 “老毛病”,选择 “忍一忍”,最终让小问题拖成大麻烦。高新生主任提醒,老年人及家属需警惕以下异常情况:
•进食后突然出现胸痛、腹痛、吞咽困难;
•长期存在不明原因的腹部不适,且症状反复;
•反复发生肺部感染,可能是异物误入气道所致。
一旦怀疑误吞异物,务必立即就医,切勿尝试吞饭、喝水等 “土方法”,这些做法可能导致异物扎得更深,加重损伤。
专家支招:四招预防老人误吞异物
1.饮食准备要精细:为老人制作食物时,提前去除骨、刺、核等硬物,如将鱼肉去刺、红枣去核后再给老人食用。
2.进食环境要安静:避免在吃饭时让老人看电视、聊天,营造安静的进食氛围,让老人专心吃饭,减少分心。
3.养成细嚼慢咽习惯:反复提醒老人充分咀嚼食物,尤其是佩戴假牙的老人,细嚼慢咽既能减轻消化负担,也能及时发现食物中的异物。
4.食物选择要恰当:汤圆、年糕等粘性大的食物,需切分成小块,让老人少量、缓慢食用,避免因食物粘连喉咙或误吞引发危险。
高新生主任强调,健康无小事,老年人及其家属应提高对误吞异物的警惕性,一旦出现不适,务必尽早到正规医院就诊。及时的医疗干预,能有效化险为夷,守护老人健康。