55岁的李女士(化名)已绝经3年,近一周突然出现不规则阴道出血。她紧急前往湖北科技学院附属第二医院妇产科就诊,超声检查揭开了真相:宫腔内不仅长有一个4cm的子宫黏膜下肌瘤,还残留着一枚佩戴长达20年的节育环,两者正是导致出血的“双重元凶”。
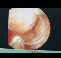
在妇产科余晓茹主任的建议下,李女士接受了宫腔镜微创手术。该手术无需腹部切口,通过人体自然腔道进入宫腔操作,兼具创伤小、出血少、恢复快的优势,能最大程度保留子宫完整性。术中,宫腔镜高清视野清晰呈现:节育器部分嵌入内膜,肌瘤组织占据宫腔超2/3空间且表面血管丰富。医生先精准定位并完整取出移位节育器,再用电切环像“宫内雕刻师”般,逐步完整切除肌瘤瘤体,同时妥善处理瘤蒂部位。整个手术微创精准、出血极少,最大程度保护了子宫内膜和子宫正常结构。这也是我院妇产科首次独立完成宫腔镜子宫黏膜下肌瘤电切术。



术后,李女士返回病房仅需卧床休息6小时即可下床活动,当天便恢复正常饮食,阴道出血症状明显缓解。经过3天的术后观察与抗感染治疗,她各项指标均恢复正常,顺利出院。
专家重要提醒
1. 绝经后出血需警惕:无论出血量多少、持续时间长短,绝经后再次出现阴道出血均为异常信号,需立即就医查明原因。
2. 节育环要定期管理:宫内节育器有使用年限,建议绝经后半年至一年内及时取出。长期留置可能引发环嵌顿、穿孔、感染、出血,或与宫腔病变合并存在,增加取环难度与风险。
3. 宫腔镜技术是首选:针对宫腔内病变(如黏膜下肌瘤、息肉、内膜问题)及异物(如残留环),宫腔镜手术视野清晰、定位精准,能在微创前提下最大限度保护子宫生理功能。
4. 定期妇科检查不可少:即便绝经,也应坚持每年一次全面妇科检查,包括B超、宫颈癌筛查等,及早发现潜在健康问题。